[헬로티]
식약처로부터 ‘MEDIP Pneumovid’ 의료기기 3등급 허가 받아 임상적 안정성 및 유효성 입증
메디컬아이피가 강력한 인공지능(AI) 기술로 코로나19를 비롯, 신종감염병 대응에 박차를 가한다.

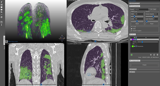
▲메딥 뉴모비드 화면 이미지
메디컬아이피가 식품의약품안전처로부터 AI 폐렴 분석 소프트웨어 'MEDIP Pneumovid(이하 메딥 뉴모비드)'의 의료기기 3등급 허가를 획득했다고 27일 밝혔다.
해당 제품은 환자의 CT 영상에서 폐렴(pneumonia)으로 인한 병변을 3D모델링해 비율, 무게 등으로 정량화할 수 있는 의료영상 진단보조 소프트웨어로, 의료영상을 활용해 폐의 이상 유무를 판단하는 데 있어 기존의 진단보조 기기들과 기술적 차별성을 지니고 있다.
특히, 회사는 메딥 뉴모비드의 AI 딥러닝에 한국, 중국, 일본, 싱가포르 등 아시아 국가는 물론 스페인, 이탈리아, 네덜란드 등 유럽권 코로나19 확진 환자의 의료데이터를 활용함으로써 AI의 폐렴 병변 검출 능력을 극대화한 것은 물론 글로벌 의료현장에서의 효용 가치를 높였다.
회사측은 “메닙 뉴모비드는 지난 3월 출시 후 국제학술지 Radiology에 게재된 논문을 통해서도 검증된 자사 제품 ‘MEDIP COVID19’의 기술을 기반으로 개발된 폐렴 정량화 솔루션으로, 이에 대한 임상적 안정성 및 유효성을 입증하기 위해 인허가 절차를 진행하게 됐다”고 말했다.
이어 “이번 식약처 허가로 기술 및 제품 신뢰도를 강화해 보다 많은 의료현장에서 활용되기를 바란다”고 말했다.
의료진들은 메딥 뉴모비드를 활용하여 객관적인 수치에 기반해 환자의 중증, 경증 여부를 신속하고 정확하게 판단할 수 있다. 이를 토대로 한정된 의료자원을 적재적소에 분배함으로써 코로나19뿐 아니라 신종감염병 유행에 효과적으로 대응하게 된다.
앞서 메디컬아이피는 코로나19 특화 소프트웨어 MEDIP COVID19를 개발하고 이를 전 세계 무료 배포한 바 있다. 해당 소프트웨어는 지난 3월 배포된 이후 현재까지 53개국, 1천260여 기관에서 다운로드 받아 활용 중이다.
여기에 코로나19에 발빠르게 대처할 수 있었던 기반 기술을 토대로 CT, X-ray까지 폐렴 분석 영역을 넓힐 계획이다. 이미 AWS(아마존웹서비스)의 지원을 받아 코로나19 환자의 X-ray 데이터 딥러닝에 돌입하기도 했다.
이뿐 아니라 CT 촬영에 대한 환자의 부담을 없애고, 고가 의료장비 도입이 어려운 저개발 국가에서도 활용하도록 연내 X-ray 기반의 폐렴 정량화 기술까지 선보일 예정이다.
메디컬아이피 박상준 대표이사는 “이번 메딥 뉴모비드의 의료기기 3등급 허가를 통해 메디컬아이피가 전 세계 의료현장에 무료 배포했던 MEDIP COVID19의 기술력과 안전성을 공고히 했다”고 말했다.
박상준 대표이사는 “향후 해당 소프트웨어의 내수용 인허가 절차에 착수하는 동시에, 코로나19는 물론 포스트 신종감염병 유행에 대비한 AI 솔루션을 지속 개발해 전 세계적 의료자원 부족 문제의 해결과 환자의 소중한 생명을 구하는 일에 기여하고자 한다”고 포부를 전했다.





